歯周病治療

いつまでも笑顔を守るために
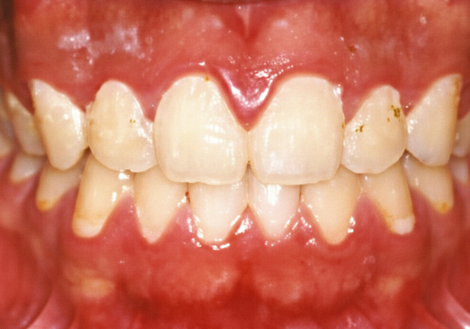
歯周病のこと真剣に考えませんか?
歯周病は静かに進行していきます。最初は痛みなどもなく徐々に進行し、気づいたら重度の歯周病になっていたなんてことも実はあるんです。朝起きた時のネバつき、歯みがきの時の出血。それは、歯を失う最大の原因「歯周病」のサインかもしれません。
🔍 歯周病セルフチェックリスト
〜こんな症状ありませんか?〜
- 朝起きたとき、お口の中がネバネバする。
- 歯みがきのときや、硬いものを食べたとき出血する。
- 口臭が気になる、または人から指摘されたことがある。
- 歯ぐきが赤く腫れている、またはときどき膿が出る。
- 歯ぐきが下がり、歯が長くなったように見える。
- 歯と歯の間にすきまができてきた、または食べ物が挟まりやすい。
- 歯がグラグラ動く感じがする。
いかがだったでしょうか?上記の項目で3つ以上当てはまれば要注意です!!歯周病は、むし歯と違い、ほとんど痛みがないまま静かに進行します。しかし、一度溶けてしまった骨(歯槽骨)は元に戻りません。早期発見・早期治療が、大切な歯を守る鍵となります。
歯周病の原因は何かご存知ですか??
歯周病ってまず何が原因で起きる病気なんでしょうか?答えはこの中に隠れています。下記をクリックしてください。
Click!↓
歯周病ってまず何が原因で起きる病気なんでしょうか?
答え:歯垢(プラーク・ばい菌のかたまり)なんです!!
歯周病は「歯石」が原因だと思われた方も多いかもしれません。歯科医院に来ると、たしかに「歯石取り」は重要な治療の一つです。
しかし、実は歯石自体が原因ではありません。歯周病を直接引き起こす原因は、その前段階にある「歯垢(プラーク)」です。
歯石とは、ばい菌(歯周病菌)の死骸が、唾液の成分などによって石のように固まってしまったものです。ばい菌はすでに死んでいるため、歯石自体に毒素を出して悪さをする能力はありません。
しかし、歯石の表面は非常にザラザラしており、このザラザラが新たなばい菌にとって絶好の「住みか(足場)」になってしまいます。そのため、歯石があると、ばい菌がさらに深く、歯ぐきの奥へと進んでしまう手助けをしてしまうのです。
だからこそ、歯周病の治療では、歯石を取り除き、ばい菌が住みにくい環境へ整えることが非常に大切なのです。
【歯垢(プラーク)の正体】
ちなみに、「歯垢(プラーク)」も、単なる食べかすだと思われがちです。しかし、歯垢は食べかすそのものではありません。
歯垢とは、食べかすを栄養にしてばい菌が爆発的に増殖し、ネバネバとした膜状になって歯に張り付いた「ばい菌の塊」のこと。この生きたばい菌の塊こそが、歯周病を引き起こし毒素をまき散らしている真犯人なのです。
そしてその歯垢(プラーク)が成熟しばい菌を保護するバリアを作ります。それをバイオフィルムといいます。排水溝のヌメヌメした汚れと同じようなものです。うがい薬や抗菌剤が効きにくく、通常の歯磨きでも簡単には除去できないため、PMTC(専門的機械的歯面清掃)などの歯科医院での専門的なケアが不可欠です。

歯周病の正体のばい菌たちの動画がこちらです ▼
恐ろしい歯周病の真犯人をわかっていただけたでしょうか。犯人がわかれば対策もできますね。
歯周病の検査のお話
歯周病の検査のアニメーション動画をご覧ください。最後に映るのは歯ぐきの縦方向の断面図です。
歯周病の検査では、動画でご覧いただいたように、プローブという、目盛り(物差しのような)のついた器具を使って測定を行います。
これは、歯と歯ぐきの境目にある溝(歯周病で深くなれば歯周ポケットになる)の深さを測かり、歯ぐきの状態を知る大切な検査です。
- 健康な歯ぐき: 歯と歯ぐきの境目の溝の深さは、通常2mm以下です。
- 炎症がある歯ぐき: 3mm以上の場合、歯ぐきに炎症が起きているサインです。歯肉炎や歯周病の進行度に応じて溝はさらに深くなっていきます。
つまり、この検査の数値を見ることで、あなたの歯ぐきが今どのような状態にあるのか、そして炎症や歯周病がどの程度進んでいるのかがレントゲンなどと合わせてよりわかります。
では、なぜこの歯と歯ぐきの境目の溝が深くなってしまうのでしょうか? その原因と対策について、一緒に詳しく見ていきましょう。
歯と歯の周りの構造のお話
歯と歯の周りの縦方向断面図

断面図でご覧いただいた通り、私たちの大切な歯は、周りを「歯を支える骨」(歯槽骨)にぐるっと囲まれ、しっかりと支えられています。この強固な骨のおかげで、私たちは硬いものでもぐらつくことなく、しっかりと噛むことができるのです。
しかし、歯と歯ぐきの境目には、誰にでも「溝」が存在します。歯周病の原因はばい菌であるというご説明を上記でしました。そして実はこの溝こそがばい菌の隠れ家となり、やがて歯周病の入り口となってしまうのです。
では、一度入り込んだばい菌によって、歯周病はどのように進行し、大切な骨を溶かしていくのでしょうか?次にその進行や症状を詳しくご説明します。
歯周病の進行と症状
Stage
00
正常な状態の歯ぐきと歯の周り
- ピンクで引き締まった歯ぐき
- 歯と歯ぐきの境目の溝は1mm〜2mm程度

Stage
01
歯ぐきがはれる歯肉炎
- 歯に歯垢(ばい菌のかたまり)歯石がつく
- 歯ぐきが炎症を起こして赤くはれる
(タバコを吸っている方は歯ぐきに抵抗力がないためはれない場合も) - 歯肉溝(歯と歯ぐきの境目の溝)が少し深くなる
- 歯磨きで出血する

Stage
02
歯周病軽度
- 歯ぐきがさらにはれて赤紫色になる
(タバコを吸っている方は歯ぐきに抵抗力がないためはれない場合も) - 歯周ポケットが深くなる
- 歯槽骨(歯の周りの骨)が溶け始める
- 歯磨きで歯ぐきから血が出る

Stage
03
歯周病中度
- 歯ぐきは大きくふくらみはれて赤紫色になる
(タバコを吸っている方は歯ぐきに抵抗力がないためはれない場合も) - 歯槽骨(歯の周りの骨)が溶け歯が動くようになる
- 歯磨きで歯ぐきからうみや血が出る
- 口臭が気になり始める

Stage
04
歯周病重度
- 歯ぐきは大きくふくらみはれて赤紫色になる
(タバコを吸っている方は歯ぐきに抵抗力がないためはれない場合も) - 歯ぐきが下がって歯が長く見える
- 歯の根本も見えてくる
- 歯がグラグラになり、やがて抜ける
- 食事をしただけで歯ぐきからうみや血が出る
- 口臭が強くなる

歯周病は、このように進行していき静かに、そして確実に、歯を失う恐ろしい病気なのです。歯周病は症状は初期ではほとんどなくご自身では気づきにくい病気ですので、普段から歯科でチェックするということがとても重要なんです。
【検査と診断】
歯の周りや歯ぐきの精密な現状把握
歯周病の治療では正確な治療を行うために、当院では徹底した検査を行います。
🔍 歯周組織検査

専用の器具(プローブ)を使って、歯周ポケットの深さや、歯ぐきからの出血・膿が出るかの有無、歯の動揺などを一本一本細かく測定します。このデータが、現在の歯周病の進行度を把握するための基本となります。最初にさせていただく基本検査、次にもっと詳しく精密検査をこのプローブを使って計測していきます。
🦷 パノラマレントゲン・
10枚法X線写真(レントゲン)

パノラマレントゲン

デンタルX線写真10枚法
歯周病の治療計画を立てる上で、レントゲン撮影は目に見えない「歯を支える骨」の状態を知るために欠かせない検査です。
当院では、主に「パノラマレントゲン」と「デンタルX線写真(10枚法など)」の2種類を撮影します。
1. パノラマレントゲン(お口全体を映す写真)
パノラマレントゲンは、お口全体の状態を一枚の大きな写真として撮影するものです。
これにより、歯周病の進行状況だけでなく、顎の関節や親知らず、お口全体の骨の量とバランスを俯瞰的に把握できます。
例えるなら、「お口全体の地図」のような役割を果たし、これから行う治療の全体像と優先順位を決定するために必要不可欠です。
2. デンタルX線写真(10枚法)
デンタルX線写真は、特定の歯と、その周りの小さな範囲を一点集中で拡大して撮影するものです。
こちらは、歯周病が進行し、骨が溶けている箇所をより精密に確認するために行います。パノラマ写真では見逃しがちな、ごく初期の骨の変化や、歯の根っこの先の状態、歯石の付着状況などを詳細に分析できます。
歯一本一本の正確な診断と、歯周病治療の成功に直結する細かい情報の取得を可能にします。
このように、広範囲を把握する「パノラマ」と、詳細を分析する「デンタル」を組み合わせることで、あなたの歯周病の状態を診断し、最適な治療計画をご提案しています。
📷 口腔内写真撮影
今の状態と治療後と比較ができるよう写真に記録します
🔴 染め出し(プラーク
コントロールレコード算出)

患者様ご自身の普段の歯みがき状況を可視化するための、重要な検査です。
検査では、専用の染め出し液を使用し、磨き残し(プラーク)が残っている部分を赤く染め出します。そして、染まっている箇所を正確に記録し、数値化します。
患者様ご自身に、どこにプラークが残っているのかを目で確認していただくことで、磨き方の弱点を把握できます。その結果に基づき、歯科衛生士が患者様一人ひとりに合わせた正しい歯みがき方法を具体的にお伝えいたします。これにより、ご自宅でのセルフケアの質を高めるお手伝いをいたします。
歯周病治療の流れ

※この歯周病治療の中で他の治療があれば(むし歯など)適宜並行して行なっていきます。
炎症が起きている歯ぐきと
健康的な歯ぐき

▶︎ 改善前
歯石や歯垢がついて歯ぐきが赤く丸くはれています

▶︎ 改善後
歯石をとりご自身でも歯ブラシを適切に行なっていただくことで、歯ぐきが綺麗なピンク色になり、歯ぐきが引き締まってきます
※一般的な歯肉改善の例です
【メンテナンス】予防歯科への移行
歯周病治療が終わっても
終わりではありません
歯周病は生活習慣病の一つであり、再発しやすい病気です。治療で改善した健康な状態を維持し、進行を食い止めるためには、歯科衛生士による定期的なメンテナンスが不可欠です。
- 専門的なクリーニング : セルフケア(歯磨き・フロス/歯間ブラシ)では届かない深部のプラークや歯石を専門的に除去します。
- チェック : 歯周ポケットの深さや出血の有無を定期的にチェックし、わずかな変化も見逃しません。
- 染め出し : 当院ではメンテナンスの際も毎回染め出しをして患者様と磨き残りを確認・プロケアをしています。
そして何より、ご自宅でのセルフケア(毎日の歯磨きや、フロス・歯間ブラシの使用)が、歯周病予防の土台です。
毎回の食事のたびに、歯垢(プラーク)は蓄積し、歯周病の原因となります。この歯垢が取り除かれずに残ると、やがて歯石となりご自身では落とせなくなります。
どんなに良い治療をしても、毎日のケアが伴わなければ、歯周病の進行を止めることはできません。
私たちはプロとしてサポートしますが、主役はあなたです。患者様がご自分のお口の「主治医」となっていただき、良い状態を保ち続けていただくことが、歯と全身の健康を守る何より大切な一歩となります。
💡 歯科衛生士が担当する部分(プロケア):
歯ぐきの溝の奥深くなど、ご自宅の歯ブラシやフロス・歯間ブラシでは届かない領域の専門的なケアは、私たち歯科衛生士が責任を持って担当いたします。もちろんメインテナンスの際は歯ぐきの上の清掃もさせていただいています。
💡 患者様にお願いする部分(セルフケア):
毎日の歯ブラシやフロス・歯間ブラシが届く範囲のケアは、患者様ご自身で自宅でのケアを合わせてお願いしています。もちろんご自宅でもできるように歯科衛生士がケアの仕方などアドバイスをさせていただきます。
力を合わせることで、初めて歯周病の進行を食い止め、健康な状態を維持することができます。二人三脚で、あなたのお口の健康を守っていきましょう。

メンテナンスをしている様子
染め出し
- 当院ではメインテナンス時も毎回染め出しを行います
- 磨き残り箇所を患者様と共有します。歯ブラシのポイントなどをお伝えしています
- 汚れを可視化した状態で歯石除去やプラーク除去をします

超音波スケーラー
- チップの微細な振動と水流の力で、歯石や汚れを効率よく粉砕し除去
- 届きにくい歯周ポケットの奥深くにある歯石も、痛みや負担を抑えながら除去できます

エアーフロー
- 水と高圧の空気とともに、歯に優しい超微細パウダーを吹き付け、汚れを歯面を傷つけず優しく除去
- 歯ブラシでは落ちにくい、歯周病の原因となるネバネバした細菌の膜(バイオフィルム)を効率よく剥がし取る
- 頑固な着色(ステイン)も除去でき、金属器具のような不快な音や振動がほとんどありません

当院ではエアーフローを保険治療の一環として取り入れております
歯周病は「お口だけ」の病気ではない:全身疾患との深いつながり
歯周病は、歯を失う大きな原因であるだけでなく、実は全身の健康にまで影響を及ぼすことが、近年の研究で明らかになっています。お口で起きている慢性的な炎症が、全身のさまざまな病気の引き金になったり、悪化させたりするのです。
歯周病が全身に影響を及ぼすメカニズム
歯周病が進行すると、歯ぐきの血管が炎症を起こし、そこから歯周病菌や、菌が作り出す毒素・炎症性物質が血液を通して全身へと流れ出します。これらの物質が、体の各臓器や血管に悪影響を及ぼすと考えられています。

このように、歯周病の治療と予防は、歯を守るだけでなく、全身の重篤な病気を予防・改善することにも繋がります。
単なるお口のトラブルだと軽視せず、全身の健康を守るための大切な一歩として、一緒に歯周病対策に取り組んでいきましょう。
糖尿病
歯周病は糖尿病の合併症の一つです。歯周病が炎症性物質を出すことで、血糖値を下げるインスリンの働きを邪魔し、糖尿病を悪化させます。逆に、歯周病を治療することで、血糖値のコントロールが改善することが報告されています。
心臓病・脳梗塞(動脈硬化性疾患)
歯周病菌や炎症性物質が血管内に入り込むと、動脈硬化を誘導する物質が産生され、血管内にプラーク(脂肪性沈着物)ができやすくなります。これにより、狭心症や心筋梗塞、脳梗塞などのリスクが高まると考えられています。
誤嚥性肺炎
誤嚥性肺炎は、食べ物や唾液が誤って気管に入り、お口の中の細菌が肺で増殖して起こる肺炎です。特にご高齢の方では、歯周病菌などの口腔内の細菌が原因となるリスクが高いことが知られています。
妊娠合併症
歯周病が重度の妊婦さんは、炎症性物質の影響により、早産や低出生体重児を出産するリスクが高まることが指摘されています。
アルツハイマー型認知症
近年、歯周病菌が作り出す毒素や炎症が、認知症の発症や進行に関連している可能性が研究によって報告されています。
関節リウマチ
歯周病と関節リウマチは、炎症物質や骨破壊のメカニズムが類似しています。歯周病菌がリウマチの発症リスクを高めたり、歯周病の炎症が関節の炎症を悪化させたりする相互作用が指摘されています。
骨粗鬆症
骨粗鬆症の患者さんは、歯を支える歯槽骨ももろくなりやすいため、歯周病が進行・重症化しやすい傾向にあります。また、歯を失うことで噛む力が低下し、栄養不足から骨粗鬆症が悪化する悪循環も指摘されています。
慢性腎臓病(腎障害・慢性腎炎)
歯周病による慢性的な炎症が、腎機能の低下に関わることが指摘されており、腎機能不全や人工透析が必要な患者さんでは歯周病が悪化しやすい傾向があります。歯周病治療が腎機能の改善に役立つ可能性も言われています。
喫煙と歯周病:歯周病にかかるリスクが2〜9倍
歯周病の進行において、タバコは「最大の発症・悪化因子」と言われています。喫煙習慣がある方は、吸わない方に比べて歯周病にかかるリスクが2〜9倍、さらに歯を失うリスクも約3倍高まることがわかっています。
なぜタバコがお口の健康を脅かすのか、その理由を3つのポイントでご説明します。
1. 歯ぐきの「免疫力」を低下させる
タバコに含まれるニコチンは血管を収縮させ、歯ぐきの血流を悪くします。その結果、酸素や栄養が十分に行き渡らなくなり、細菌と戦う「免疫力」が低下してしまいます。本来なら身体が守ってくれるはずのバイキンに対して、非常に無防備な状態になってしまうのです。
2. ダメージの「修復力」を妨げる
血流が悪いと、傷ついた組織を治そうとする細胞の働きも鈍くなります。そのため、治療をしても歯ぐきの治りが遅くなったり、改善しにくくなったりします。治療の効果を最大限に引き出すためには、禁煙が最も近道です。
3. 「自覚症状」を隠してしまう(一番の落とし穴)
ニコチンの血管収縮作用により、歯ぐきの腫れや出血が抑えられてしまいます。本来なら「出血」というサインで気づけるはずの歯周病が、見た目には健康そうに見えて、気づかないうちに奥深くで進行してしまうのです。これが、喫煙者が重度の歯周病になりやすい最大の理由です。

院長が取得している歯周病・インプラントの認定証

歯周病と「インプラント」を統合したコース修了書
ご予約・お問い合わせは
お気軽にどうぞ
〒861-8001 熊本市北区武蔵ヶ丘5丁目13-15
最寄駅:
武蔵塚駅から徒歩11分
熊本電鉄バス:武蔵中学校前バス停下車 徒歩1分
| 診療時間 | 月 | 火 | 水 | 木 | 金 | 土 | 日 |
|---|---|---|---|---|---|---|---|
| 9:00 〜 12:00 | ● | ● | ● | ● | ● | ● | ー |
| 13:30 〜 18:30 | ● | ● | ー | ● | ● | ー | ー |
096-337-3640
診療時間 9:00-12:00 / 13:30-18:30
(日・祝日は休診、水・土は午後より休診)

