CTについて
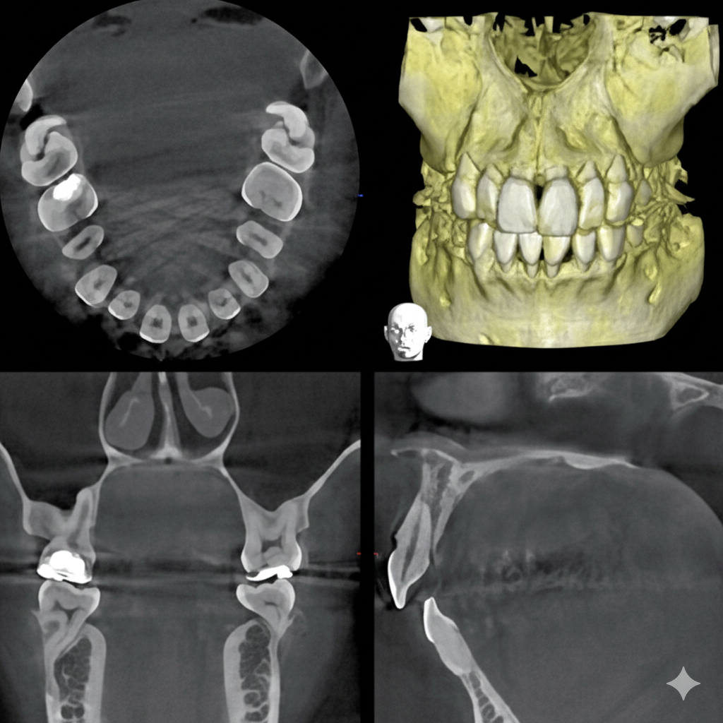
こじま歯科医院では精度の高い治療を行うために歯科用CTを導入しております。
従来のレントゲン画像は平面像(二次元)でしたが、歯科用CT画像は立体画像(三次元)でみることが出来ます。
ですから、インプラントや歯周病などの診断に有効で、従来の平面画像では難しいとされた骨の幅の確認などが行えます。CT撮影で様々な角度から診断することで、正確な診査・診断に役立ち、より安全で確かな治療を行うことが可能となります。

歯科用CTでわかること
CT画像からは、骨の形や欠損状態がわかるだけでなく、神経の位置や向きなどもしっかり把握できますので、特に、以下のような治療で役立っています。
インプラント
Implant
インプラント治療では、CTの画像から埋入する部位の骨の状態(質や厚み、高さ、形態など)を正確に読み取り、そこから治療計画を立てることが出来ます。歯科用CTでの撮影画像をもとに、的確な治療計画を立てることは、安心な治療への第一歩です。また三次元の立体画像から、神経などを避けた安全な位置、方向、深さを決定し埋入する事が可能となり、より安心・安全な治療を提供する事が出来ます。

歯周病治療
Periodontal disease treatment
歯周病は、細菌感染による骨の破壊が起きる病気であるため、骨の破壊の程度などをよりリアルに見て判断することができます。また、骨の状態からおおよその 歯の寿命を積算することも可能です。従って、非常に予知性の高い治療が行えます。 歯科用CTを使った検診を行うことで、歯を支えている骨の状態などを直接的に見ることが出来ます。

根管治療
Root canal treatment
歯の神経や根っこに潜む細菌をきれいに取り除く、根管治療。CT画像では、根の本数や神経の入っている管の方向、そして位置を正確に把握することができます。また、細かい根の破折も発見できるので、早期治療が可能になります。

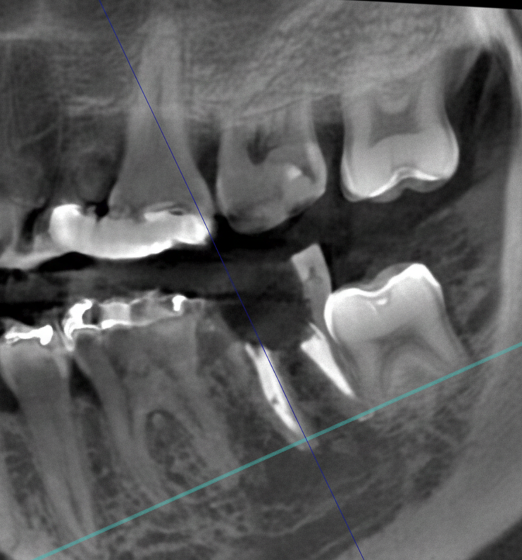
親知らず
wisdom teeth
歯科用CTを親知らずの抜歯に利用することで、神経までの正確な距離や、周囲の炎症の程度、病巣の有無や大きさ、位置なども判断・考慮して、治療を行うことができます。また埋伏歯などの位置なども精密に判断できるので、余分な切開や骨の切削などを避けることができます。

歯科用CTの放射線量について
歯科用CTの放射線量は、医科用のCTの10分の1以下になっておりますのでどうかご安心下さい。さらに防護服を装着してからの撮影ですので極めて安全です。
歯科用CTの線量は・・・
・1日に自然と受ける放射線量とほぼ同じ
・胃のレントゲン撮影時の放射線量の100分の1
※妊娠中の方は前もってご相談ください。




