当医院ではあなたのお口の健康を責任を持って維持管理させていただくために定期的に虫歯をチェックし、メンテナンスを実施しています。
Check!!
むし歯チェックの流れ
問診
口腔内診査と患者様とのコミュニケーションづくりをします。
お口で気になることはお気軽にご相談ください。
STEP
1
染め出し
プラークをお薬で赤く染め出すことにより、口の中の診断します。
きれいに見える歯も…・・赤く染め出すとすごく汚れているのが分かります。
STEP
2
ブラッシング指導
ホームケアの重要性を説明します。
最適なブラッシング方法の説明を定期的に行います。
STEP
3
PMTC
歯科衛生士による機械的な歯面研磨及び細菌(バイオフィルム)の除去を行います。歯の表面がつるつるになり、くすみが取れて汚れがつきにくくなりなります。
STEP
4
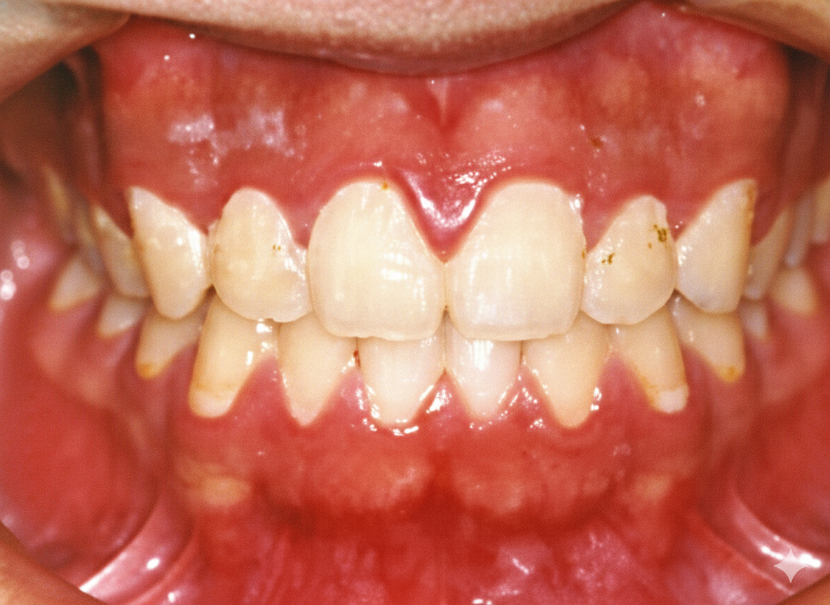
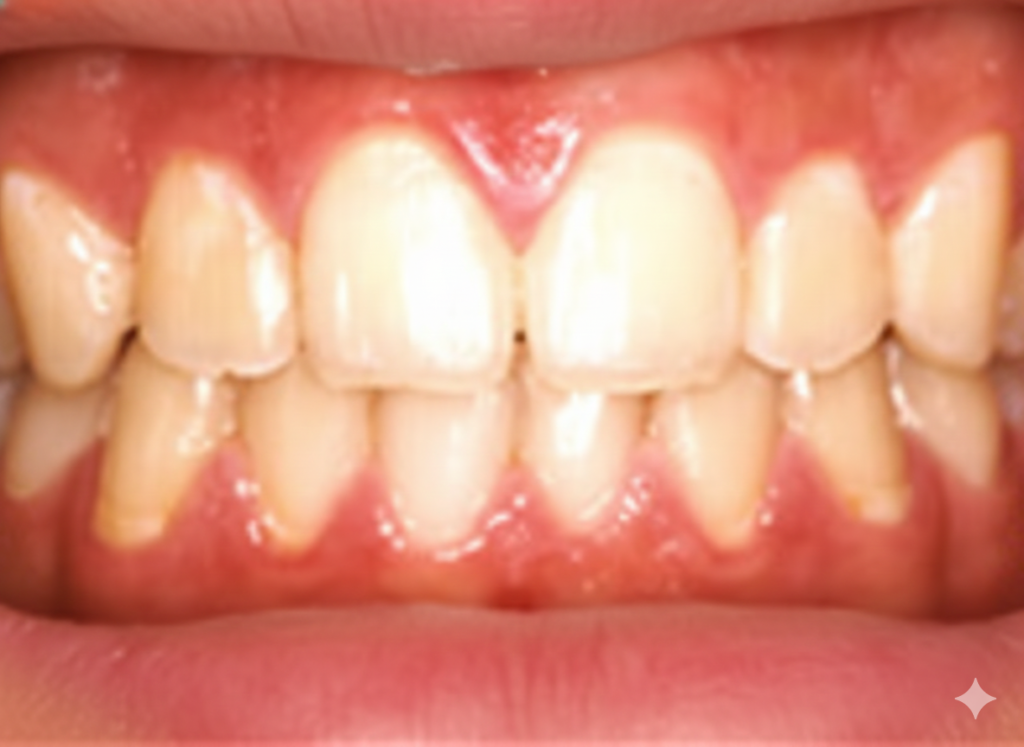
■ 歯みがきで健康な歯と歯ぐき
歯ぐきが赤くはれ上がっていましたが、きちんと歯みがきすることでピンク色の健康な歯ぐきになりました。

▶︎ 治療前

▶︎ 治療後
■ 歯ブラシ指導
虫歯や歯周病で歯を失うことがほとんどです。当院では、虫歯や歯周病にならない歯をつくることが何より大切だと考えています。
基本は、正しい方法で、歯と歯ぐきのすみずみまでみがくこと。
自分ではきちんとみがいているつもりでも、隅々まで磨けていないことが多いのです。
こじま歯科医院では、虫歯・歯周病予防につながる歯ブラシ方法を患者様に指導しています。
